[GÓC GIẢI ĐÁP] Nên bọc răng sứ hay trám răng?
Trong một số trường hợp, nhiều người vẫn hay thắc mắc tại sao không trám răng mà lại bọc răng sứ. Bởi chúng ta biết rằng trám răng không những thực hiện nhanh hơn mà chi phí còn rẻ hơn. Vậy việc nên bọc răng sứ hay trám răng do đâu? Để có câu trả lời chính xác nhất về vấn đề này, bạn hãy theo dõi bài viết dưới đây nhé!
![]() |
| Bọc răng sứ hay trám răng là tùy thuộc vào từng tình trạng của răng |
Nên bọc răng sứ hay trám răng?
Quyết định nên bọc răng sứ hay trám răng phụ thuộc vào nhiều yếu tố khác nhau. Dưới đây là một số yếu tố giúp bạn đưa ra quyết định phù hợp:Vấn đề răng: Đánh giá tình trạng răng của bạn. Nếu bạn có vấn đề lớn như răng bị hư tổn nghiêm trọng, màu sắc không đều hoặc có vết nứt lớn. Bọc răng sứ có thể là lựa chọn tốt hơn để tạo ra một nụ cười tự nhiên và đẹp hơn. Trám răng thích hợp cho những vấn đề nhỏ hơn như vết nứt nhỏ, khoảng trống nhỏ hoặc vết sâu răng nhỏ.
Khả năng tài chính: Xem xét ngân sách của bạn. Thường thì bọc răng sứ có chi phí cao hơn so với trám răng. Vì vậy, nếu ngân sách là một yếu tố quan trọng, trám răng có thể là lựa chọn kinh tế hơn.
Độ bền: Bạn cần xem xét độ bền của hai quy trình này. Răng sứ thường có độ bền cao hơn và có thể kéo dài trong nhiều năm, trong khi vật liệu composite trong trám răng có thể bị mòn hoặc vỡ sau một thời gian.
Xem xét quy trình điều trị: Cuối cùng, hãy cân nhắc về quy trình điều trị. Bọc răng sứ thường yêu cầu nhiều bước. Trám răng thường chỉ yêu cầu một hoặc hai lần điều trị.
Tuy nhiên, quyết định cuối cùng nên bọc răng sứ hay trám răng là nên lắng nghe ý kiến của bác sĩ nha khoa. Họ sẽ thăm khám tình trạng răng và đề xuất phương pháp phù hợp nhất để đạt được kết quả tối ưu cho hàm răng của bạn
![]() |
| Bọc răng sứ hay trám răng là tùy thuộc vào từng tình trạng của răng |
Khi nào nên bọc răng sứ?
Một trong những phương pháp để giải quyết các tình trạng xấu của răng miệng là bọc răng sứ. Ngược lại với trám răng, bọc răng sứ có quy trình thực hiện lâu và chi phí đắt hơn. Dưới đây là một số trường hợp được khuyến nghị nên bọc răng sứ để đảm bảo được hiệu quả:Răng sâu bị viêm tủy
Khi răng bị chết tủy, nó thường trở nên yếu và dễ gãy. Để bảo vệ và tái tạo răng sau quá trình chữa tủy, bọc răng sứ là một phương pháp phổ biến được sử dụng. Khi quá trình chữa tủy hoàn tất, răng thường trở nên yếu hơn, dễ bị viêm nhiễm và hư tổn.Nếu không bảo vệ răng sau quá trình chữa tủy, có thể dẫn đến tình trạng viêm nhiễm và hư tổn nghiêm trọng, thậm chí là phải nhổ răng ra. Bọc răng sứ đóng vai trò như một lớp bảo vệ bên ngoài, giúp bảo vệ răng thật bên trong khỏi các tác động từ môi trường miệng, như mảnh vụn thức ăn và vi khuẩn. Bên cạnh việc bảo vệ, bọc răng sứ tạo ra một hàm răng đều và đảm bảo tính thẩm mỹ cao.
![]() |
| Răng bị viêm tủy nên bọc răng sứ để bảo vệ cấu trúc răng thật |
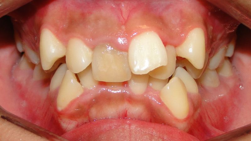
Răng mọc không đều
Bọc răng sứ là phương pháp hiệu quả để đối phó với các trường hợp răng mọc không đều, mọc nghiêng, mọc lệch. Phương pháp này không chỉ mang lại hàm răng đều, đẹp và đảm bảo thẩm mỹ cao, mà còn giúp tiết kiệm thời gian so với phương pháp niềng răng.Nếu bạn có nhiều vấn đề về thẩm mỹ trên toàn bộ hàm răng, bọc răng sứ toàn hàm sẽ mang lại hiệu quả toàn diện và thay đổi chất lượng nụ cười tổng thể.
![]() |
| Răng mọc không đều nếu bọc răng sứ sẽ đem lại hiệu quả tối ưu và tiết kiệm thời gian hơn so với niềng răng |
Răng hô/móm nhẹ
Nếu trường hợp răng hô hoặc móm nhẹ do nguyên nhân từ răng mà không phải do cấu trúc xương hàm thì có thể xử lý được bằng cách bọc răng sứ. Cụ thể là do vị trí răng mọc không đúng như chìa ra ngoài hoặc ôm lấy răng hàm đối diện.
Trước khi bọc răng sứ, các bác sĩ sẽ mài cùi răng thật và sau đó răng sứ được gắn vào, đảm bảo đúng khớp cắn. Sau khi bọc răng sứ, bạn sẽ có một hàm răng đều và khớp cắn chuẩn.
![]() |
| Răng bị hô hoặc móm nhẹ sau khi bọc răng sứ sẽ có một hàm răng đều và khớp cắn chuẩn |
Bọc răng sứ cho răng ố nặng
Trong trường hợp răng bị ố vàng nặng, việc tẩy trắng răng thường không đạt được kết quả mong muốn. Vì nó chỉ tác động bên ngoài bề mặt chứ không hiệu quả hoàn toàn. Còn phương pháp bọc răng sứ cho răng ố vàng có thể giúp bạn có một hàm răng trắng đẹp và đều màu.Lớp sứ bên ngoài sẽ che giấu hoàn toàn các vết ố vàng và tạo ra một bề mặt răng mới trắng sáng. Ngoài việc che giấu các vết ố vàng, bọc răng sứ còn mang lại lợi ích bảo vệ và tăng cường độ bền cho răng của bạn.
![]() |
| Bọc răng sứ cho răng ố vàng có thể giúp bạn có một hàm răng trắng đẹp và đều màu hơn. |
Vật liệu sứ được sử dụng trong quá trình bọc răng có khả năng tái tạo màu sắc tự nhiên của răng, giúp bạn có một nụ cười tươi sáng và tự tin hơn.
Khi nào nên trám răng?
Để có hàm răng tự tin hơn, lựa chọn phương pháp trám răng cũng được áp dụng phổ biến trong nha khoa. Để biết nên bọc răng sứ hay trám răng, thì một số trường hợp cần thực hiện trám răng dưới đây sẽ giúp bạn loại trừ:Răng sâu mức độ nhẹ
Với tình trạng sâu răng mức độ nhẹ việc trám răng là cần thiết để ngăn chặn vùng sâu răng lan rộng hơn. Sâu răng bắt nguồn từ sự phát triển của vi khuẩn trong khoang miệng. Khi vi khuẩn gây sâu răng đã tạo ra lỗ trên men răng, việc trám răng trở thành một phần không thể thiếu trong quá trình điều trị.Quá trình bao gồm loại bỏ phần bị sâu, làm sạch vùng bị ảnh hưởng và sử dụng các vật liệu trám như composite hoặc amalgam để khôi phục lại hình dạng và chức năng của răng. Ngoài ngăn chặn sự phát triển lỗ sâu, trám răng cũng giúp khôi phục vẻ đẹp tự nhiên của răng và giảm khả năng cần thực hiện những quá trình điều trị phức tạp hơn.
![]() |
| Răng sâu mức độ nhẹ sử dụng phương pháp trám răng để ngăn vùng sâu lan ra các răng khác. |
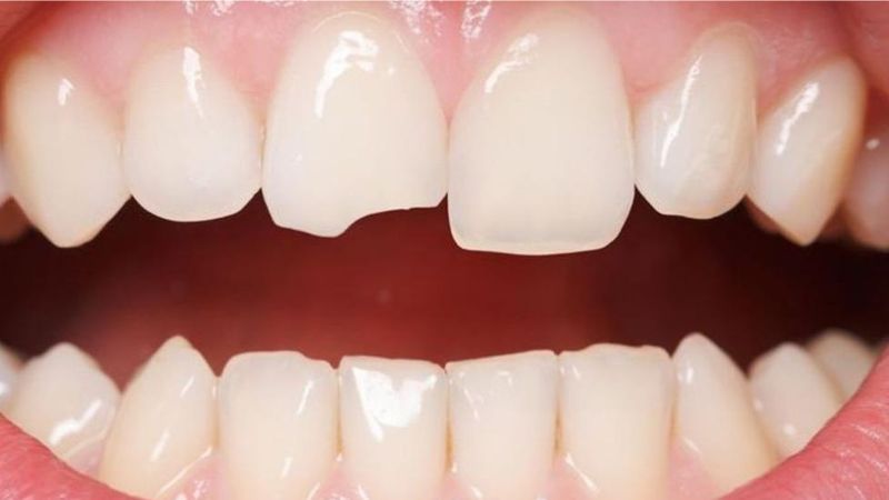
Răng mẻ, sứt miếng nhỏ
Các va chạm mạnh có thể gây ra tình trạng bể, mẻ hoặc làm mất hình dạng ban đầu của răng. Trường hợp mẻ vỡ nhỏ, có thể thực hiện trám răng bằng các vật liệu trám như composite để khắc phục vấn đề. Quá trình trám răng này giúp tái tạo hình dáng răng và khôi phục chức năng ăn nhai.Tuy nhiên, với các trường hợp mẻ vỡ lớn, bác sĩ thường khuyên bọc răng sứ để đảm bảo rằng răng được tái tạo lại một cách chắc chắn, có tính thẩm mỹ và giữ được lâu hơn. Quan trọng nhất là, khi gặp phải tình trạng răng bị hư hại sau va chạm, bạn nên thăm khám nha sĩ ngay lập tức để được chẩn đoán và tư vấn phương pháp điều trị phù hợp nhất dựa trên tình trạng cụ thể của răng và nướu.
![]() |
| Răng bị mẻ, sứt miếng nhỏ cần trám răng để giúp tái tạo hình dáng răng và khôi phục chức năng ăn nhai. |
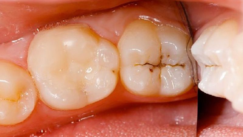
Răng trũng, rãnh sâu
Bề mặt men răng thường có nhiều trũng và rãnh sâu, tạo điều kiện thuận lợi cho việc tích tụ thức ăn và mảng bám. Vì các vùng này khó chải rửa sạch, sau một thời gian dài, vi khuẩn có thể phát triển và tạo ra axit gây sâu răng tại những vùng trũng, rãnh này.Để hạn chế tình trạng sâu răng trở nên nghiêm trọng hơn, trám răng là sự lựa chọn tối ưu. Phương pháp này ngăn ngừa vi khuẩn gây hại tấn công răng. Từ đó bảo vệ răng khỏi các tác nhân gây hại cho răng và tủy
![]() |
| Răng trũng, rãnh sâu cần trám răng để ngăn ngừa vi khuẩn gây hại tấn công răng, gây hại cho răng và tuỷ. |
Nếu răng bị trúng, rãnh sâu lựa chọn phương pháp trám răng vẫn là tối ưu nhất. Nhằm tiết kiệm chi phí và đảm bảo hàm răng của bạn trở nên chắc khỏe sau khi điều trị.
Bọc răng sứ và trám răng cái nào tốt?
Cả việc bọc răng sứ và trám răng đều là các phương pháp điều trị nha khoa phổ biến để khắc phục các vấn đề về răng. Tuy nhiên, lựa chọn giữa bọc răng sứ hay trám răng phụ thuộc vào tình trạng răng của bạn và mục tiêu điều trị như thế nào.
Đối với các vấn đề về răng ở mức độ nhẹ, ít tổn thương, bác sĩ khuyên nên trám lại răng là hợp lý để ngăn chặn vi khuẩn tấn công. Ngược lại với tình trạng nặng hơn hoặc viêm, hô, móm thì cần điều trị bằng phương pháp bọc răng sứ.
![]() |
| Cả việc bọc răng sứ và trám răng đều là các phương pháp điều trị nha khoa phổ biến để khắc phục các vấn đề về răng |
Tóm lại, việc chọn giữa bọc răng sứ và trám răng phụ thuộc vào tình trạng răng của bạn, mức độ hư hại và mục tiêu điều trị. Để đưa ra quyết định cuối cùng, bạn nên tham khảo ý kiến của bác sĩ. Sau khi thăm khám và đánh giá tình trạng răng của bạn, bác sĩ sẽ đề xuất phương pháp phù hợp nhất để khắc phục.
Trám răng có cần bọc sứ không?
Trám răng không phải là phương pháp tốt nhất để dứt điểm sâu răng mà chỉ là lựa chọn tạm thời. Khi phát hiện răng bị sâu ở mức độ nhẹ, trám răng sẽ hạn chế sự phát triển của vi khuẩn trong thời gian ngắn.Trong quá trình sử dụng, miếng trám có thể bị bong ra do tác động từ việc nhai thức ăn hoặc xúc tác với axit trong thực phẩm. Điều này tạo cơ hội cho các vi khuẩn xâm nhập vào lỗ sâu trước đó, khiến tình trạng sâu răng trở nên nghiêm trọng hơn.
Dó đó, đối với những răng trải qua quá trình trám, thường sẽ mào mòn theo thời gian chứ không lâu bền. Trong trường hợp này, các chuyên gia nha khoa khuyên mọi người nên chọn phương pháp bọc răng sứ để bảo vệ răng lâu dài, tránh sự xâm nhập của vi khuẩn. Hay nói cách khác, sau khi trám răng khuyến khích nên bọc sứ để kéo dài tuổi thọ của răng.
![]() |
| Trám răng không phải là phương pháp tốt nhất để dứt điểm sâu răng nên cần bọc sứ để bảo vệ cấu trúc răng thật |
Bọc răng sứ hay trám răng ở đâu tốt?
Nha Khoa Shark là một thương hiệu nổi tiếng trong lĩnh vực nha khoa và chăm sóc răng miệng. Với đội ngũ bác sĩ hơn 20 năm kinh nghiệm, Shark đã xây dựng một danh tiếng vững chắc trong việc cung cấp dịch vụ chất lượng cao và giải pháp nha khoa tiên tiến.
Đến với nha khoa Shark, bạn sẽ được trải nghiệm những lợi ích sau:Đội ngũ chuyên gia: Shark có đội ngũ bác sĩ nha khoa giàu kinh nghiệm và được đào tạo chuyên sâu. Họ sẽ tư vấn và thực hiện quy trình bọc răng sứ hoặc trám răng an toàn và hiệu quả.
![]() |
| Nha khoa Shark quy tụ đội ngũ bác sĩ giỏi và áp dụng công nghệ hiện đại trong quá trình điều |
Công nghệ tiên tiến: Shark sử dụng công nghệ hiện đại và trang thiết bị tiên tiến được nhập khẩu trực tiếp từ Châu Âu. Đảm bảo quy trình điều trị nha khoa được thực hiện một cách chính xác và nhanh chóng.
Vật liệu bọc răng sứ và trám chất lượng cao: Shark sử dụng các loại vật liệu cao cấp và an toàn nhất trong quá trình bọc răng sứ hoặc trám răng. Điều này đảm bảo răng có độ bền cao và màu sắc tự nhiên nhất có thể.
Trải nghiệm thoải mái: Shark tạo ra một môi trường thoải mái và thân thiện để bạn cảm nhận được sự thư giãn, nhẹ nhàng trong suốt quá trình điều trị. Đội ngũ nhân viên tận tâm và chu đáo sẽ đảm bảo rằng bạn nhận được sự chăm sóc tốt nhất
Với những lợi ích nổi bật này, Shark là lựa chọn tốt để giải quyết các vấn đề răng miệng của bạn. Hãy để Shark chăm sóc hàm răng khỏe mạnh và mang đến nụ cười tự tin cho bạn.
Trên đây là những thông tin cơ bản về việc lựa chọn giữa bọc răng sứ hay trám răng. Quyết định cuối cùng vẫn nên được đưa ra sau khi tham khảo ý kiến của bác sĩ nha khoa và xem xét tình trạng răng của bạn. Nếu có thêm câu hỏi cần giải đáp hãy liên hệ tới hotline 1800 2069 hoặc 0941 623 322 để được giải đáp và tư vấn điều trị phương pháp phù hợp nhất nhé.
Vật liệu bọc răng sứ và trám chất lượng cao: Shark sử dụng các loại vật liệu cao cấp và an toàn nhất trong quá trình bọc răng sứ hoặc trám răng. Điều này đảm bảo răng có độ bền cao và màu sắc tự nhiên nhất có thể.
Trải nghiệm thoải mái: Shark tạo ra một môi trường thoải mái và thân thiện để bạn cảm nhận được sự thư giãn, nhẹ nhàng trong suốt quá trình điều trị. Đội ngũ nhân viên tận tâm và chu đáo sẽ đảm bảo rằng bạn nhận được sự chăm sóc tốt nhất
Với những lợi ích nổi bật này, Shark là lựa chọn tốt để giải quyết các vấn đề răng miệng của bạn. Hãy để Shark chăm sóc hàm răng khỏe mạnh và mang đến nụ cười tự tin cho bạn.
Trên đây là những thông tin cơ bản về việc lựa chọn giữa bọc răng sứ hay trám răng. Quyết định cuối cùng vẫn nên được đưa ra sau khi tham khảo ý kiến của bác sĩ nha khoa và xem xét tình trạng răng của bạn. Nếu có thêm câu hỏi cần giải đáp hãy liên hệ tới hotline 1800 2069 hoặc 0941 623 322 để được giải đáp và tư vấn điều trị phương pháp phù hợp nhất nhé.
Xem thêm bài viết liên quan












Nhận xét
Đăng nhận xét