Tuột lợi có tự khỏi không? Cách khắc phục như thế nào?
Tụt lợi là hiện tượng thường gặp ở nhiều người, không chỉ gây mất thẩm mỹ khuôn mặt mà còn ảnh hưởng không nhỏ đến sức khỏe răng miệng. Vậy tuột lợi có tự khỏi không? Khi bị tụt lợi thì nên làm gì? Cùng tìm hiểu câu trả lời qua những thông tin trong bài viết sau nhé!

Như thế nào là tuột lợi?
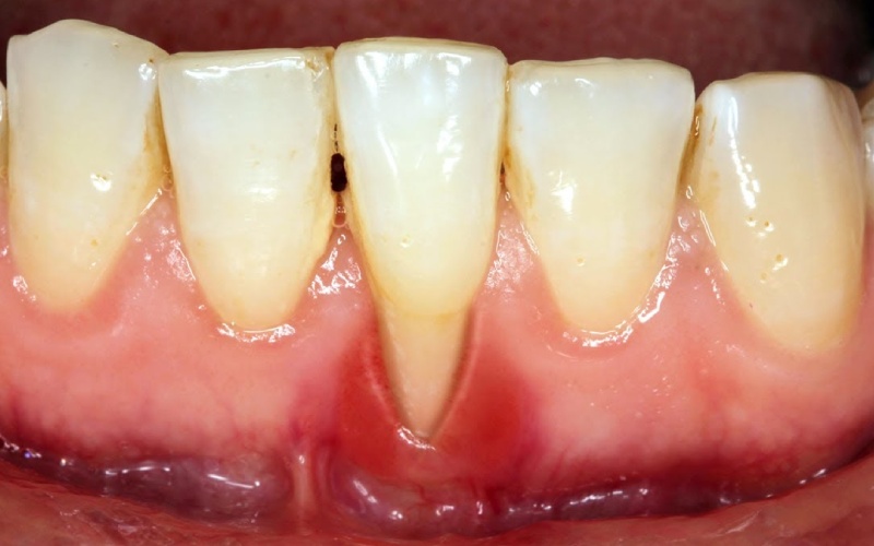
Tụt lợi hay còn gọi là tụt nướu, là một vấn đề răng miệng phổ biến nhưng không phải ai cũng quan tâm đến. Đây là hiện tượng phần nướu bao quanh chân răng có xu hướng di chuyển xuống cuống răng, làm lộ phần cổ chân răng. Hiện tượng này có thể chỉ xảy ra ở một răng nhưng cũng có thể một vài răng hoặc nguyên cả hàm trên và dưới.
Dấu hiệu bị tụt lợi:
- Lợi bị rút lại làm lộ cổ chân răng, kiến răng trông dài hơn so với bình thường.
- Vùng lợi bị tụt sưng đỏ hơn so với các vùng lợi khác và gây đau nhức, khó chịu.
- Hơi thở có mùi khó chịu cho dù đã vệ sinh răng miệng sạch sẽ.
- Thường xuyên xuất hiện tình trạng chảy máu chân răng, nhất là khi chải răng, sử dụng chỉ nha khoa.
- Răng bị yếu dần, lung lay và có thể gãy rụng bất kỳ lúc nào.

Những nguyên nhân gây nên tụt lợi
Trước khi tìm hiểu tuột lợi có tự khỏi không, bạn cần biết được những nguyên nhân gây nên tụt lợi. Dưới đây là một vài nguyên nhân phổ biến mà bạn có thể tham khảo:
Vôi răng tích tụ quá nhiều
Vôi răng là nguyên nhân hàng đầu gây nên tình trạng tụt lợi. Khi không vệ sinh răng miệng sạch sẽ, thức ăn thừa và mảng bám tích tụ nhiều trên răng và sẽ dần bị vôi hóa thành vôi răng, bám cứng chắc trên bề mặt răng và bên dưới lợi. Đây chính là nơi cư trú lý tưởng của các vi khuẩn có hại và chúng sẽ tấn công mô lợi, gây viêm nhiễm và làm cho lợi tuột dần xuống.
Vệ sinh răng miệng sai cách
Việc vệ sinh răng miệng không đúng cách: chải răng với lực quá mạnh, chải răng theo chiều ngang, sử dụng bàn chải có đầu lông cứng,… là nguyên nhân khiến răng bị mài mòn nhanh chóng, đồng thời gây tổn thương vùng lợi và làm cho lợi bị tuột dần.

Do các bệnh lý răng miệng
Các bệnh lý răng miệng như: viêm lợi, viêm nha chu, viêm quanh răng,… cũng là nguyên nhân phổ biến dẫn đến tình trạng tụt lợi. Những bệnh lý này nếu không được điều trị kịp thời sẽ phá hủy mô lợi một cách nặng nề, khiến lợi bị sưng tấy, chảy máu, ê nhức dai dẳng. Đồng thời răng sẽ bị yếu dần, thậm chí lung lay và gãy rụng.
Mất răng lâu ngày
Mất răng nếu để lâu ngày mà không có biện pháp phục hình phù hợp sẽ dẫn đến nhiều biến chứng nguy hiểm. Đặc biệt, xương hàm sẽ bị tiêu biến khiến cho vùng lợi tại vị trí răng mất cũng sẽ bị teo dần, các răng xung quanh có xu hướng nghiêng về khoảng trống mất răng, đồng thời răng đối diện cũng có hiện tượng trồi dài xuống. Điều này không chỉ gây tụt nướu mà còn khiến hàm răng bị xô lệch nghiêm trọng.
Các nguyên nhân khác
Ngoài những nguyên nhân trên, tuột lợi còn có thể do nhiều nguyên nhân khác gây nên như: do di truyền, rối loạn nội tiết tố nữ khi mang thai hay đến kỳ kinh nguyệt hoặc mãn kinh, thói quen xỉa răng bằng tăm,…

Tụt lợi có tự khỏi không?
Tình trạng tuột lợi có tự khỏi không nếu như không có bất kỳ can thiệp nha khoa nào? Câu trả lời là KHÔNG. Lợi khi đã bị tuột sẽ không thể tự phục hồi, không thể săn chắc và che phủ chân răng như ban đầu được.
Tuy nhiên, bạn cũng không cần phải quá lo lắng. Bởi hiện nay, với sự phát triển của ngành nha khoa hiện đại, có rất nhiều phương pháp điều trị tuột lợi hiệu quả. Điều quan trọng là bạn nên tìm đến các trung tâm nha khoa uy tín để bác sĩ thăm khám, tìm ra nguyên nhân và xác định mức độ tuột lợi như thế nào, từ đó đưa ra phương pháp điều trị hiệu quả nhất.
Bị tụt lợi thì nên làm gì?
Tuột lợi không thể tự khỏi, vậy bị tuột lợi thì nên làm gì? Dưới đây là một số cách phòng tránh và điều trị bệnh tuột lợi mà bạn có thể tham khảo.
Vệ sinh răng miệng đúng cách
Bạn hãy chải răng đều đặn ít nhất 2 lần/ngày. Khi chải răng, bạn nên lựa chọn bàn chải có lông mềm, đặt bàn chải một góc 45 độ so với bề mặt răng. Chải răng một cách nhẹ nhàng theo chiều dọc hoặc vòng tròn, tránh chải răng theo chiều ngang với lực mạnh. Cần chú ý chải đều khắp mặt trong, mặt ngoài của răng để loại bỏ hoàn toàn các thức ăn thừa còn sót lại.

Ngoài ra, bạn cần kết hợp sử dụng thêm nước súc miệng, máy tăm nước để làm sạch khoang miệng một cách triệt để. Đồng thời, sử dụng chỉ nha khoa thay vì tăm xỉa răng để tránh làm tổn thương đến nướu và làm thưa kẽ răng.
Xây dựng chế độ ăn uống khoa học
Để ngăn ngừa tình trạng tuột lợi tiến triển nhanh hơn, bạn cần thay đổi chế độ ăn uống hàng ngày. Hãy xây dựng một chế độ ăn lành mạnh bằng cách sung nhiều thực phẩm chứa vitamin, khoáng chất, chất xơ, phốt pho, canxi,… Những chất này sẽ giúp răng và nướu chắc khỏe hơn.
Bên cạnh đó, bạn nên tránh những thức ăn có vị chua như cam, chanh, sữa chua,… vì những loại thức ăn này có tính axit cao sẽ bào mòn men răng, khiến răng bị ê buốt. Các thực phẩm chứa nhiều đường cũng không được khuyến khích vì có thể khiến tình trạng tuột lợi trở nên trầm trọng hơn.

Ngoài ra, những người thường xuyên hút thuốc lá, uống rượu bia thì nên từ bỏ ngay. Những thói quen này sẽ gây ảnh hưởng nghiêm trọng đến sức khỏe răng miệng, dễ gây viêm nhiễm, thậm chí còn đẫn đến nguy cơ mất răng. Không những vậy, đây cũng là nguyên nhân khiến răng bị ố vàng, mất thẩm mỹ và gây ung thư khoang miệng.
Thăm khám tại nha khoa uy tín
Khi nhận thấy các dấu hiệu của tụt lợi, bạn nên nhanh chóng đến nha khoa uy tín để bác sĩ thăm khám và đưa ra cách xử lý phù hợp. Thông thường sẽ có những biện pháp điều trị như sau:
- Đối với tình trạng tụt lợi ở mức độ nhẹ, chưa gây ê buốt răng thì bác sĩ có thể tiến hành cạo vôi răng. Việc này sẽ giúp làm sạch vôi răng dưới nướu, loại bỏ các ô viêm nhiễm, phục hồi mô nha chu. Bên cạnh đó, khách hàng cần kết hợp thực hiện chăm sóc răng tại nhà đúng cách, nhẹ nhàng.
- Đối với tình trạng tụt lợi ở mức độ nặng do bệnh lý nha chu, kèm theo tiêu xương hàm thì bác sĩ sẽ chỉ định ghép lợi, ghép xương để phục hồi lại hình dáng ban đầu của lợi.
- Đối với tình trạng tuột lợi, tiêu xương hàm do mất răng gây ra thì bác sĩ sẽ tiến hành ghép lợi, ghép xương, đồng thời cấy ghép răng Implant để khôi phục lại răng đã mất và giúp mô lợi hồng hào, khỏe mạnh.
- Đối với tình trạng tuột nướu do sai lệch khớp cắn thì bác sĩ sẽ tiến hành chỉnh nha để điều chỉnh khớp cắn về đúng vị trí, từ đó loại bỏ được nguy cơ chấn thương răng và nướu.

Địa chỉ điều trị tụt lợi uy tín, hiệu quả
Để có thể điều trị tình trạng tuột lợi triệt để, khôi phục thẩm mỹ và sức khỏe cho răng, lợi một cách hiệu quả và an toàn, bạn cần lựa chọn địa chỉ nha khoa uy tín. Hiện nay, Nha Khoa Shark là địa chỉ chăm sóc sức khỏe răng miệng được đông đảo khách hàng tin tưởng lựa chọn. Đã có rất nhiều khách hàng điều trị thành công tụt lợi tại Nha Khoa Shark và lấy lại được hàm răng chắc khỏe.
Vì sao Nha Khoa Shark được yêu thích:
Đội ngũ bác sĩ
- được đào tạo bài bản tại các trường Đại học Y Dược nổi tiếng trong cả nước, từng có thời gian tu nghiệp tại nước ngoài và nhiều năm kinh nghiệm trong nghề. Không chỉ vậy, bác sĩ còn rất nhiệt tình, thân thiện, xem khách hàng như người thân của mình.
Máy móc thiết bị
- Luôn tiên phong trong việc đầu tư và ứng dụng các máy móc, công nghệ hiện đại vào trong quá trình thăm khám và điều trị. Điều này giúp đơn giản hóa quy trình thực hiện, tăng cao hiệu quả điều trị và giảm thiểu thời gian cho cả bác sĩ và khách hàng.
Chất lượng thực hiện
- Hệ thống vô trùng khép kín với phòng vô trùng riêng biệt tại nha khoa. Tất cả các dụng cụ đều được vô trùng kỹ lưỡng và được bảo quản trong tủ cực tím. Từ đó đảm bảo an toàn cho quý khách hàng, loại bỏ nguy cơ lây nhiễm chéo.

Chăm sóc khách hàng
- Nha Khoa Shark còn luôn nâng cao dịch vụ chăm sóc khách hàng nhằm giúp khách hàng có những trải nghiệm tốt nhất khi điều trị tại nha khoa. Khách hàng không cần phải băn khoăn tuột lợi có tự khỏi không nữa mà có thể an tâm đến nha khoa để bác sĩ thăm khám và điều trị.
Giá cả dịch vụ
- Giá dịch vụ tại Nha Khoa Shark luôn được công khai minh bạch, cam kết không phát sinh thêm chi phí trong suốt quá trình điều trị. Ngoài ra, nha khoa còn thường xuyên tổ chức nhiều chương trình ưu đãi hấp dẫn nhằm giúp khách hàng trải nghiệm dịch vụ nha khoa chất lượng cao với chi phí phải chăng nhất.
Chúng tôi hy vọng rằng những nội dung trên đã giúp bạn giải đáp được thắc mắc tụt lợi có tự khỏi không. Để biết được phương pháp nào phù hợp với mình, hãy nhanh chóng liên hệ ngay đến Nha Khoa Shark để được các chuyên gia tư vấn cụ thể và hoàn toàn miễn phí.
>>> Tham khảo thêm: Quy trình bọc răng sứ đúng chuẩn an toàn và thẩm mỹ
Nhận xét
Đăng nhận xét